Ist das eine schöne Nachricht: Der Berliner Zoo teilte am Dienstagmorgen mit, dass das Panda-Weibchen Meng Meng schwanger ist. Es könnten wieder Zwillinge werden! Im Frühjahr fand die Paarung mit dem Männchen Jiao Qing statt. Zusätzlich wurde das Weibchen künstlich besamt. Das hat nun erfreuliche Folgen.
Nun sorgt Panda-Dame Meng Meng (11) zwei Wochen nach dem 180. Zoo-Geburtstag für das nachträgliche Geburtstagsgeschenk. Dass die China-Bärin wieder trächtig ist, wurde bei der Untersuchung am Sonntagmorgen zur Gewissheit.
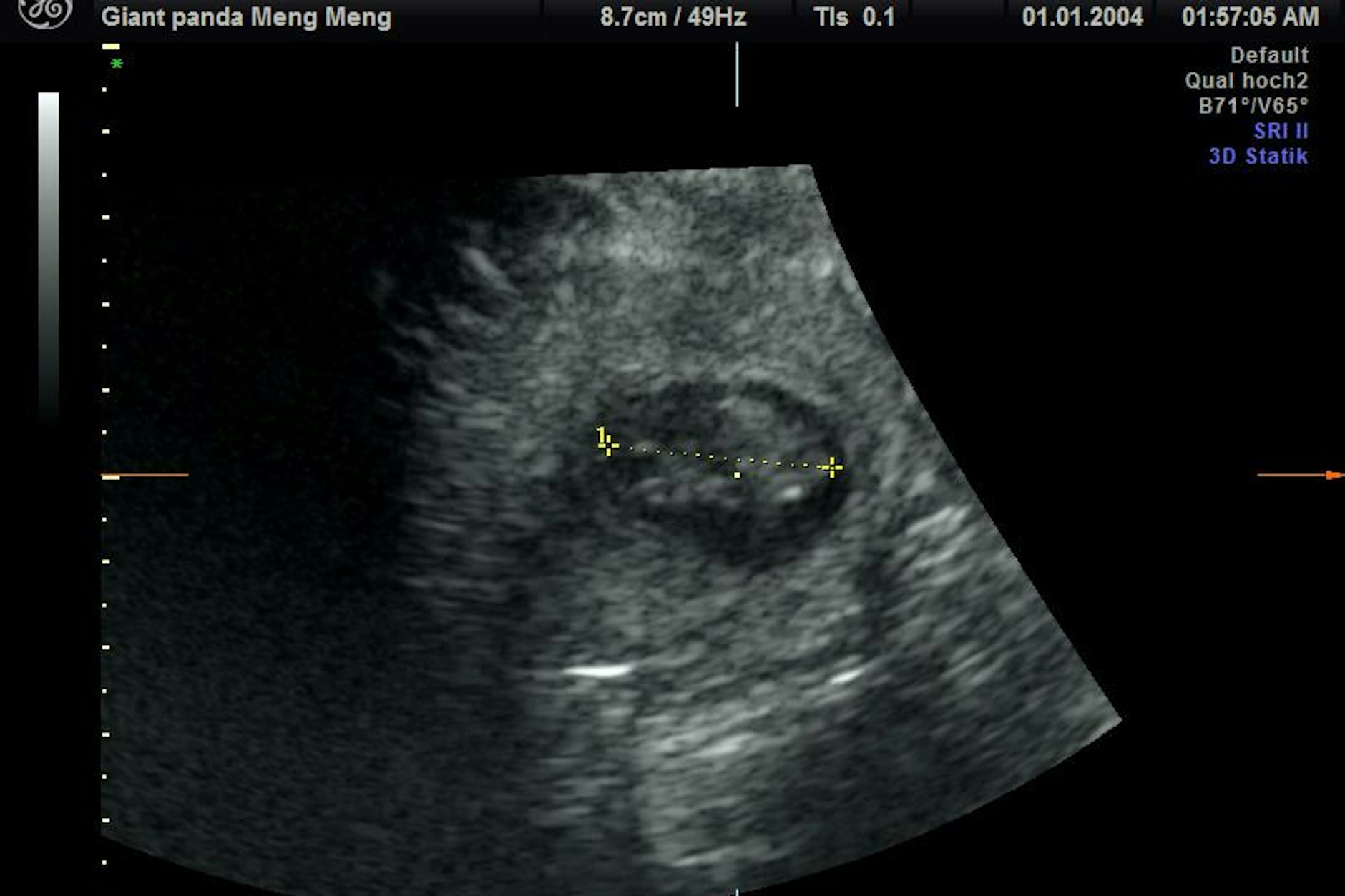
Da war wieder eine Ultraschalluntersuchung dran. Für diese hatte Meng Meng offenbar gar keine Lust mehr. Doch was dann die „Panda-Spezialeinheit“ zu sehen bekam, löste einen kleinen Jubel aus, sagte eine Zoo-Sprecherin. Erst war ein Herzschlag, dann ein zweiter auf dem Ultraschallgerät zu erkennen!
Nicht der erste Panda-Nachwuchs im Berliner Zoo
Und so kann nun Prof. Dr. Thomas Hildebrandt, Leiter der Abteilung für Reproduktionsmanagement am Leibniz-Institut für Zoo- und Wildtierforschung (IZW), verkünden: „Eine Untersuchung im Stehen hat schließlich die freudige Nachricht gebracht, dass Meng Meng mit zwei Jungtieren trächtig ist.“
Hildebrandt ist der Spezialist, wenn es bei besonderen Tieren um Nachwuchs geht. Er war auch vor fünf Jahren dabei, als am 31. August 2019 die Panda-Zwillinge Pit und Paule auf die Welt kamen, die inzwischen in China sind. Nun betreute Hildebrandt mit seinem Team den erneuten Anlauf in Richtung China-Bären-Nachwuchs in Berlin. Er war bei der Paarung von Meng Meng und Jia Qing dabei. Auch die künstliche Besamung des Weibchens, man wollte ja auf Nummer sicher gehen, geschah unter seiner Aufsicht.

Panda-Nachwuchs im Zoo: „Babys sind etwa 2,5 Zentimeter groß“
Da Hildebrandt, sein Team und die Zoo-Pfleger sich mit der Panda-Dame doch recht gut verstehen, gelang es ihnen, die China-Bärin für diese Ultraschalluntersuchung zu „überreden“, wozu das Tier nun gar keine Lust mehr hatte. „Trotz sichtlichen Bauchkneifens ließ sich Meng Meng überzeugen, in den aufrechten Stand zu kommen und das kühle Ultraschall-Gel sowie die Untersuchung mit der Ultraschall-Sonde zu akzeptieren“, sagt Hildebrandt. Das gesamte Team war zurecht stolz auf diesen bahnbrechenden Erfolg.“
Das Team wertete die Ultraschall-Bilder aus. Hildebrandt: „Die Babys sind etwa 2,5 Zentimeter groß und müssen jetzt bis zur Geburt noch ordentlich wachsen.“

Zootierärztin Dr. Franziska Sutter, die die Untersuchung ebenfalls begleitet hat, gibt bei aller Freude jedoch zu bedenken: „Bei aller Begeisterung müssen wir uns darüber im Klaren sein, dass das ein sehr frühes Stadium der Trächtigkeit ist und eine sogenannte Resorption – also ein Absterben des Embryos zu diesem Zeitpunkt noch möglich ist. Wir werden die Entwicklung mit Ultraschalluntersuchungen und Hormonanalyse gespannt weiterverfolgen. Wir hoffen sehr, dass alles genauso gut klappt, wie beim letzten Mal 2019.“
Panda-Nachwuchs im Berliner Zoo: Ende August könnten die Zwillinge da sein
Zoo- und Tierparkdirektor Dr. Andreas Knieriem lobt die beispielhafte Zusammenarbeit und das überdurchschnittliche persönliche Engagement des gesamten Teams. „Anhand der Größe der Embryonen rechnen wir – wenn alles gut verläuft – aktuell weiterhin mit einer Geburt Ende August“, sagt er.
In jedem Fall ist der Zoo Berlin bestens auf eine mögliche Geburt vorbereitet. Neben den Experten des ZW sind nun auch wieder „Geburtshelfer“ aus China dabei, die am Sonntag angereist kamen. Schon 2019 konnte der Zoo Berlin von dem umfangreichen Wissen der Experten der Pandaaufzucht-Station in Chengdu profitieren.





