Der Berliner Zoo steht vor einer neuen tierischen Sensation: Schon im August wird erneut doppelter Panda-Nachwuchs erwartet! Die Spannung steigt, denn es wäre das zweite Mal, dass in Deutschland Panda-Zwillinge zur Welt kommen. Bereits 2019 sorgten die Pandaboys Pit und Paule in Berlin für Aufsehen – jetzt also wieder Nachwuchs.
Die Vorbereitungen laufen auf Hochtouren, denn im Panda-Gehege von Mama Meng Meng und Papa Jiao Qing muss alles perfekt sein. Der Countdown für die Geburt hat begonnen, und ganz Deutschland fiebert mit. Aber was geschieht eigentlich hinter den Kulissen, während die letzten Vorbereitungen getroffen werden? Säugetierkurator Dr. Florian Sicks hat die Details und berichtet der „Berliner Morgenpost“ davon.
Während die Besucher sich vor dem Gehege von Jiao Qing drängen, um ihm beim Fressen und Chillen zuzusehen, bleibt die Anlage von Meng Meng leer. Das trächtige Pandaweibchen zieht sich zunehmend zurück und verbringt die meiste Zeit im Innenbereich, wo sie viel schläft. Kurz vor der Geburt hat Meng Meng das Fressen fast vollständig eingestellt, heißt es in dem Bericht. Nach der Besamung im März hatte sie bis Mitte Juli fast 20 Kilogramm zugenommen und wog schließlich 95 Kilogramm. Dieses Gewichtszunahme war notwendig, damit sich die Trächtigkeit fortsetzen und der Embryo sich entwickeln konnte. Inzwischen hat Meng Meng wieder auf 85 Kilogramm abgenommen.

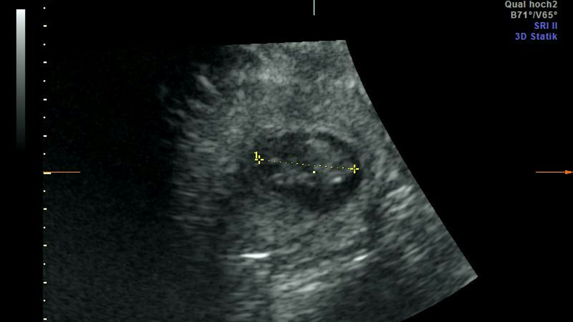
Am 11. August entdeckte man beim Ultraschall die beiden schlagenden Herzen der Embryos, die zu diesem Zeitpunkt etwa 2,5 Zentimeter groß waren. Eine weitere Untersuchung kurz darauf zeigte, dass die Embryos inzwischen auf etwa 6,5 Zentimeter angewachsen waren, wodurch die Gefahr einer Fehlgeburt stark reduziert sei, so Sicks.
Die neugeborenen Pandas werden etwa zwölf Zentimeter groß sein
Hinter den Kulissen laufen die Vorbereitungen auch für den Wurfbereich auf Hochtouren. Die große Box wird in einen kleineren, gemütlicheren Bereich unterteilt, in dem die Geburt stattfinden wird. Meng Meng schläft momentan noch viel, doch kurz vor der Geburt wird sie unruhiger und beginnt, viel hin und her zu laufen. Dieses Verhalten, zusammen mit dem fast vollständigen Einstellen der Nahrungsaufnahme, deutet darauf hin, dass die Geburt kurz bevorsteht. Sobald die Fruchtblase platzt, kann die Geburt innerhalb einer Stunde erfolgen, es kann jedoch auch bis zu 24 Stunden dauern.
Die neugeborenen Pandas werden etwa zwölf Zentimeter groß sein und maximal 300 Gramm wiegen. Pit und Paule, die 2019 geboren wurden, wogen bei der Geburt sogar weniger als 200 Gramm. Neugeborene Pandas sind zunächst nackt, taub, blind und rosa, und erinnern eher an übergroße Nacktmulle. Die typische schwarz-weiße Pandazeichnung entwickelt sich erst später.

In der Natur überlebt bei Zwillingsgeburten oft nur ein Jungtier, da die Pandamutter nicht genug Milch für beide hat. Um dies zu verhindern, wird Meng Meng bei der Aufzucht unterstützt. Ähnlich wie bei Pit und Paule wird ein Jungtier im Inkubator gehalten, während das andere bei der Mutter bleibt, und dann werden sie regelmäßig ausgetauscht. Diese Phase dauert etwa 30 Tage. Wenn alles gut läuft, wird in dieser Zeit keine zusätzliche Milch benötigt, da die Babys abwechselnd bei der Mutter trinken.
Chinesische Expertinnen aus der Pandastation in Chengdu angereist
Aus der Pandastation in Chengdu sind auch diesmal zwei chinesische Expertinnen angereist, so Sicks in der „Morgenpost“, die die Aufzucht der Jungtiere überwachen. Sie verfügen über viel Erfahrung, da sie etwa 20 Pandageburten pro Jahr begleiten. Ihre Aufgabe sei es, die Entwicklung der Jungtiere genau zu beobachten, die Temperaturen im Inkubator zu überwachen und die Babys regelmäßig zu messen und zu wiegen.

Mit etwa zwei Wochen beginnt das Fell der Pandababys zu wachsen, und nach einem Monat entwickelt sich die charakteristische schwarz-weiße Zeichnung. In den ersten Wochen verbringen die Jungtiere aber den Großteil ihrer Zeit schlafend. Nach den ersten 30 Tagen werden sie dem Inkubator entwachsen sein und in ein größeres, flauschig ausgelegtes Babybett umziehen, das von Glaswänden umrandet ist. Etwa zwei Jahre lang werden die Jungtiere von ihrer Mutter gesäugt, bevor sie getrennt werden können. Der Vater, Jiao Qing, ist an der Aufzucht nicht beteiligt.
Wenn alles gut verläuft, könnten die Pandababys im Frühjahr 2025 erstmals für die Besucher zu sehen sein. Bei Pit und Paule fand die öffentliche Präsentation 100 Tage nach der Geburt statt, und erst zu diesem Zeitpunkt erhielten sie auch ihre Namen. Wahrscheinlich werden die Kollegen aus Chengdu auch diesmal Vorschläge für die Namen äußern, sagt Sicks. Das Geschlecht der Jungtiere ist noch nicht bekannt, es könnten ein Junge und ein Mädchen, zwei Jungs oder zwei Mädchen sein.




