Corona ist noch nicht gebannt, da taucht bereits das nächste tödliche Virus auf: In Bayern wurde das seltene, aber meist tödliche Borna-Virus bei einem Menschen nachgewiesen: Wie es dem Mann aus dem Landkreis Weißenburg-Gunzenhausen geht, ist noch unbekannt. Die Ämter beschäftigen sich nun mit der Infektionskette. Was ist das für ein Virus, wo kommt es her – und droht uns jetzt die nächste Pandemie?
Sowohl das Gesundheitsamt als auch das Veterinäramt sind intensiv an der Aufklärung eines möglichen Infektionspfads beteiligt. Sie arbeiten eng mit den Fachleuten des Landesamtes für Gesundheit und Lebensmittelsicherheit (LGL) zusammen. Über den Zustand des Infizierten wurden von der Behörde keine weiteren Informationen veröffentlicht.
Immer wieder infizieren sich Menschen mit Borna-Virus
Anfang 2020 war durch eine im Fachmagazin „The Lancet Infectious Diseases“ veröffentlichte Studie des Friedrich-Loeffler-Instituts (FLI) und der Universität Regensburg bekannt geworden, dass in den vergangenen Jahren weit mehr Menschen an einer Infektion mit dem klassischen Borna-Virus gestorben sind als bisher bekannt.
Der Erreger sei in Bayern in aufbewahrten Hirnproben gestorbener Patienten nachgewiesen worden, berichteten Forscher. Insgesamt starben demnach zwischen 1995 und 2019 mindestens 14 Menschen nachweislich an der Gehirnentzündung durch das klassische Borna-Virus. In welchem Ausmaß das Virus insgesamt hinter Hirnentzündungen mit unbekannter Ursache stecken könnte, ist bislang unklar.
Lesen Sie auch: Darf ich Wasser im Wasserkocher zweimal aufkochen? Davor warnen Experten
Borna-Virus: Nur 50 Fälle bekannt – die meisten verliefen tödlich
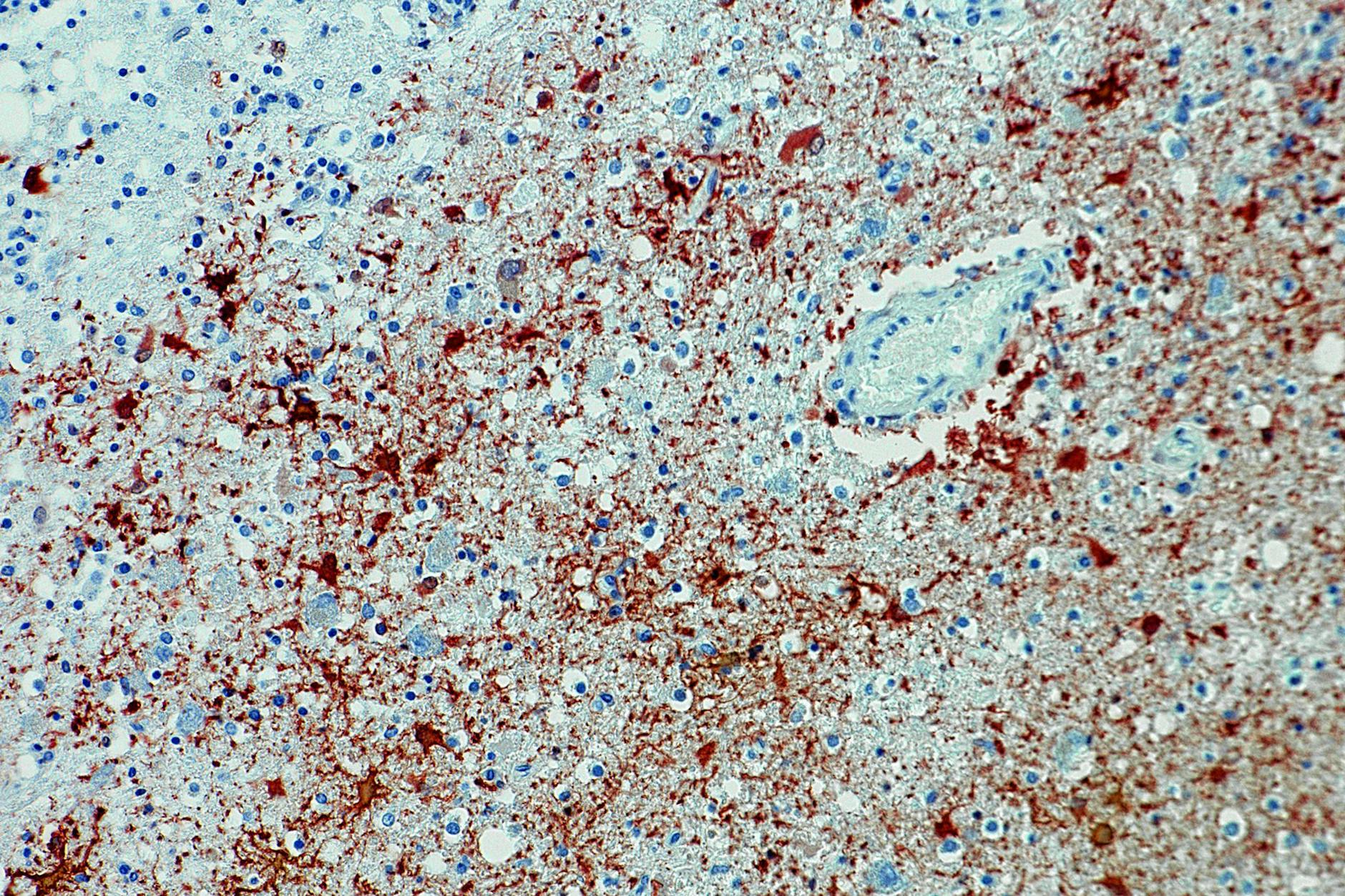
Im Jahr 2018 wurde das Virus erstmals als Auslöser schwerer Gehirnentzündungen bei Menschen identifiziert. Laut LGL verläuft die Virusinfektion schwer. Abgesehen von vier Krankheitsfällen, bei denen die Betroffenen trotz schwerer Spätfolgen überlebten, endeten alle bekannten BoDV-1-Infektionen bei Menschen tödlich.
Das Virus war über einen langen Zeitraum nur bei Nutztieren, etwa bei Schafen und Pferden, bekannt. Allerdings hat das Virus seinen Ursprung bei der Feldspitzmaus, die in Mitteleuropa weit verbreitet ist. Vermutet wird, dass diese das Virus über Speichel, Urin und Kot ausscheidet und Tiere wie Schafe und Pferde auf Feldern und Wiesen damit in Kontakt kommen.
Lesen Sie auch: Hätten Sie es gewusst? DARUM sollten Sie jeden Tag eine Banane essen
Nicht völlig geklärt ist bisher auch, wie sich das Virus auf den Menschen überträgt .Laut Berichten sei naheliegend, dass es durch den direkten Kontakt mit infizierten Tieren passiere. Das kann aber auch auf anderen Wegen geschehen – etwa über freilaufende Hauskatzen, die Spitzmäuse jagen. Laut Robert-Koch-Institut sei eine Übertragung von Mensch zu Mensch aber unwahrscheinlich.
Zu den Symptomen des Borna-Virus gehören Kopfschmerzen und Fieber
Besonders dramatisch aber sind mehrere Infektionen aus den Jahren 2018 und 2019. Unter anderem hatten sich drei Menschen über eine Organspende mit der tödlichen Krankheit angesteckt, weil sie eine Niere beziehungsweise die Leber eines Infizierten aus Bayern bekommen hatten. Nur einer von ihnen überlebte die Krankheit, allerdings mit schwerwiegenden gesundheitlichen Folgen.
Zu den Symptomen gehören laut Medizinern Kopfschmerzen und Fieber – allerdings nur im Anfangsstadion. Schreitet die Infektion weiter voran, kann es auch zu Störungen des Bewegungs- oder Sprachapparates oder zu Verwirrtheit kommen, im weiteren Verlauf kann der Patient in ein Koma fallen.


